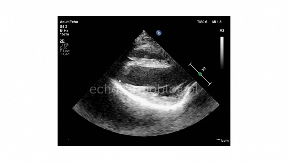
Opis przypadku: 42-letni mężczyzna, dotychczas nie leczony kardiologicznie. W załączonych obrazach
echo serca widoczny :
- nieprawidłowy ruch przegrody międzykomorowej
- ucisk prawej komory w pobliżu zastawki trójdzielnej oraz
- spłaszczenie i deformacja pierścienia trójdzielnego.
Obraz typowy dla wpływu klatki piersiowej lejkowatej na pozycję i funkcję serca.
Podsumowanie: Deformacja mostka może zaburzać geometrię prawej komory i ruch przegrody
międzykomorowej, naśladując patologię serca. Echo pozwala to precyzyjnie odróżnić – warto o tym
pamiętać u pacjentów z lejkowatą klatka piersiową.
Pectus excavatum – the heart under pressure
Case description:
42-year-old man with no prior cardiac history. Echocardiography revealed :
-abnormal motion of the interventricular septum,
-compression of the right ventricule near the tricuspid valve and
-flattening with slight deformation of the valve annulus.
The findings are typical of external compression due tu pectus excavatum, affecting cardiac position and
function.
Summary:
Sternal deformity may significantly disturb the geometry of the right ventricular and septal motion,
mimicking true cardiac pathology. Echocardiography helps distinguish these mechanical effects – an
important point to remember in patients with pectus excavatum.



