Podczas badania echokardiograficznego u pacjentów z marskością wątroby często obserwujemy zjawisko,
które nie wynika z choroby wieńcowej, lecz z czynników zewnętrznych: związane jest z uniesieniem
przepony w przebiegu wodobrzusza, co zmienia położenie serca i może powodować pozorny
paradoksalny ruch ściany dolnej, mogący sugerować dyskinezę, mimo że w rzeczywistości kurczliwość
mięsnia sercowego pozostaje prawidłowa
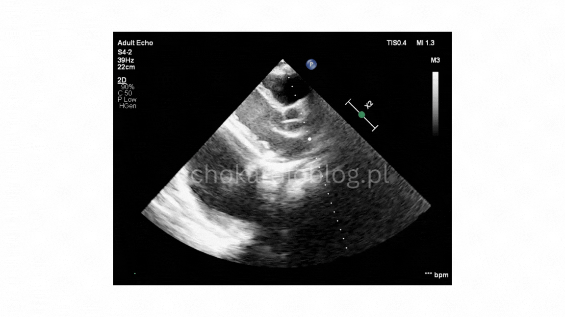
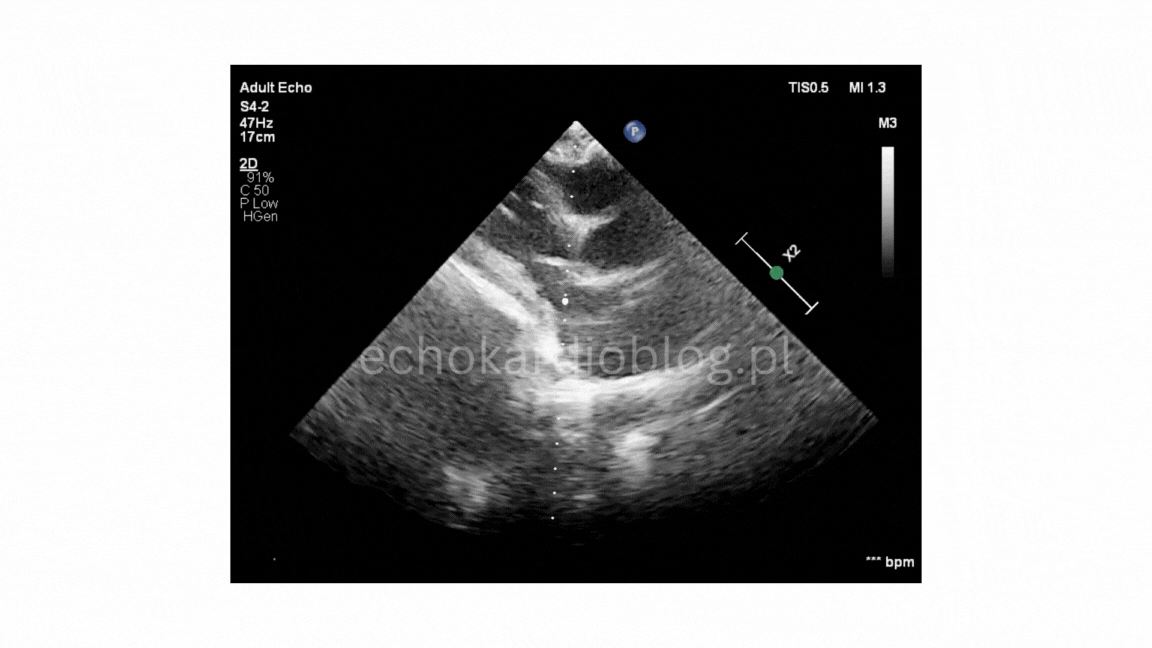
Prezentuję dwa przypadki pseudodyskinezy u pacjentów z marskością wątroby z wodobrzuszem:
przypadek 1 – silnie wyrażona jest pseudodyskineza i
przypadek 2, gdzie jest mniej nasilona postać pseudodyskinezy
Echocardiografic illusions in liver cirrhosis: Two cases of pseudodyskinesia
During echocardiographic examination of patients with liver cirrhosis, we often observe a phenomenon
tht does not resultt from coronary artery desease but from external factors. It is related to diaphragmtic
elevation in the course of ascites , which changes the position of the heart and may cause an apparent
paradoxical motion of the inferior wall, suggesting dyskinesia. In reality, however, myocardial
contractility remains normal.
We present two cases of pseudodyskinesia in patents with liver cirrhosis and ascites:
Case 1- marked pseudodyskinesia, and
Case 2- a less pronounced form of the są me phenomenon.




Wnioski:
Pseudodyskineza to pozorne zaburzenie kurczliwości lewej komory, które wynika z wzrostu
ciśnienia wewnątbrzusznego; wodobrzusze powoduje uniesienie przepony , co zmienia położenie serca w
klatce piersiowej i może wpływać na jego ruchomość, zwłaszcza w jenoni ściany dolnej lewej komory
Conclusion:
Pseudodyskinesia is an apparent abnormality of left ventricular wall motion resulting from incr4eased
intra-abdominal pressure. Ascites leads to elevation of the diaphragm, which changes the posiotion of the
heart within the thoracic cavity and my influence its apparent motion, particulary in the region of the
inferior wall of the left ventricle.

