• Wielozastawkowe infekcyjne zapalenie wsierdzia (IZW )– echo, które przeraża. Perspektywa zatorów. / Multivalvular Infective Endocarditis – an Echo That Terrifies : The Threat of Embolism

    Wielozastawkowe infekcyjne zapalenie wsierdzia (IZW )– echo, które przeraża. Perspektywa zatorów. / Multivalvular Infective Endocarditis – an Echo That Terrifies : The Threat of Embolism

    Wielozastawkowe infekcyjne zapalenie wsierdzia (IZW )– echo, które przeraża. Perspektywa zatorów.

    Opis przypadku

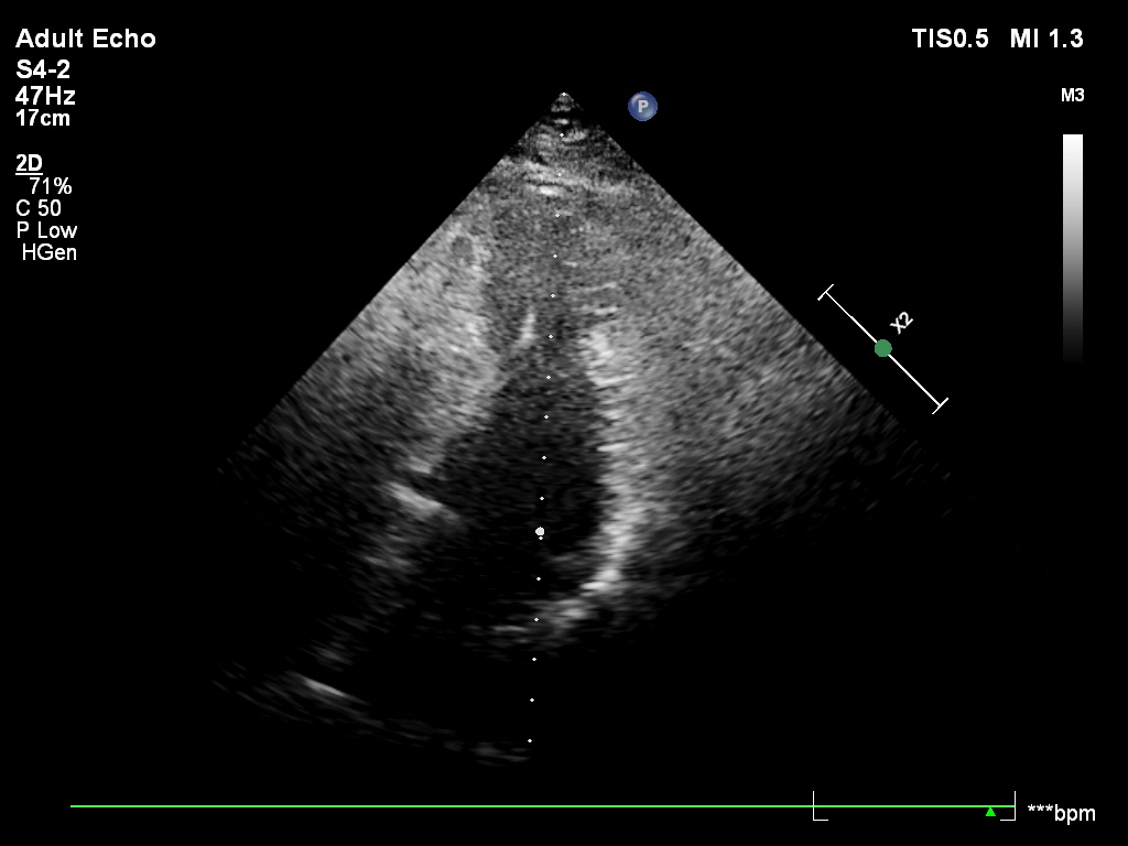
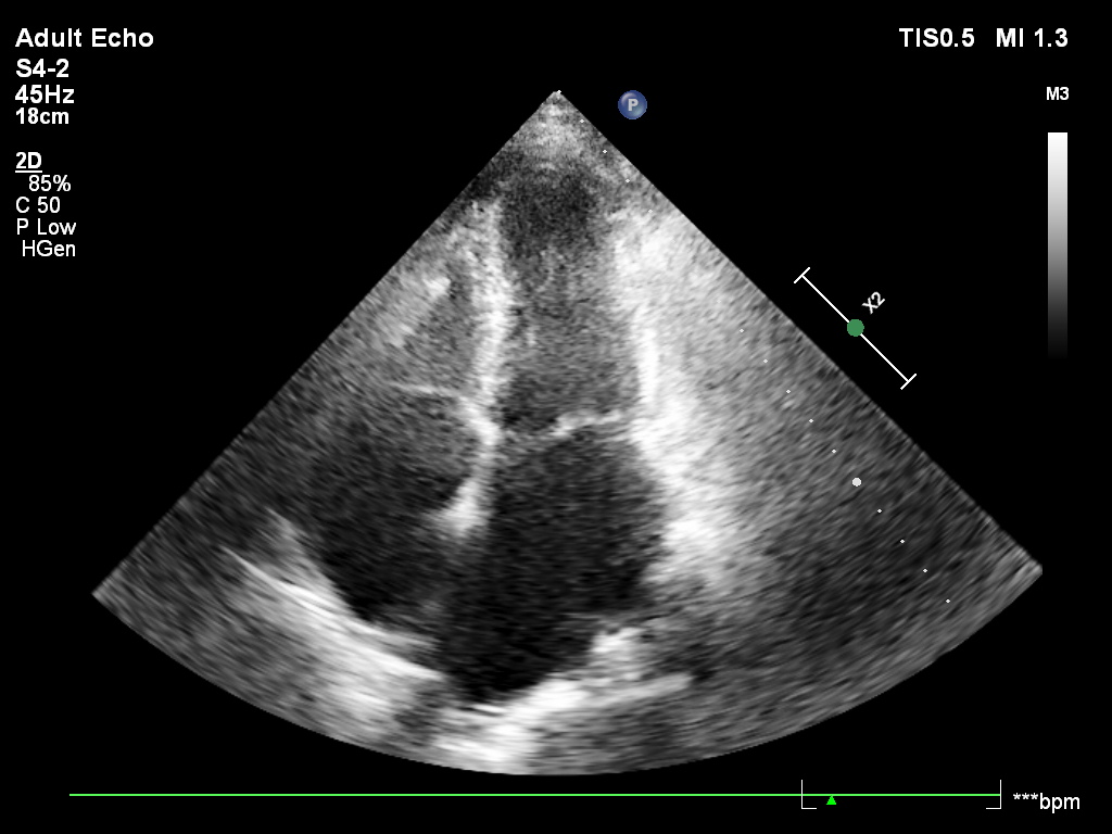
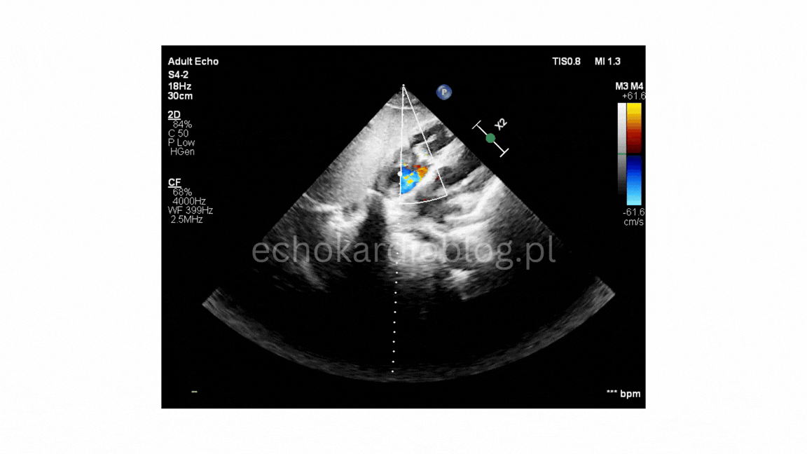
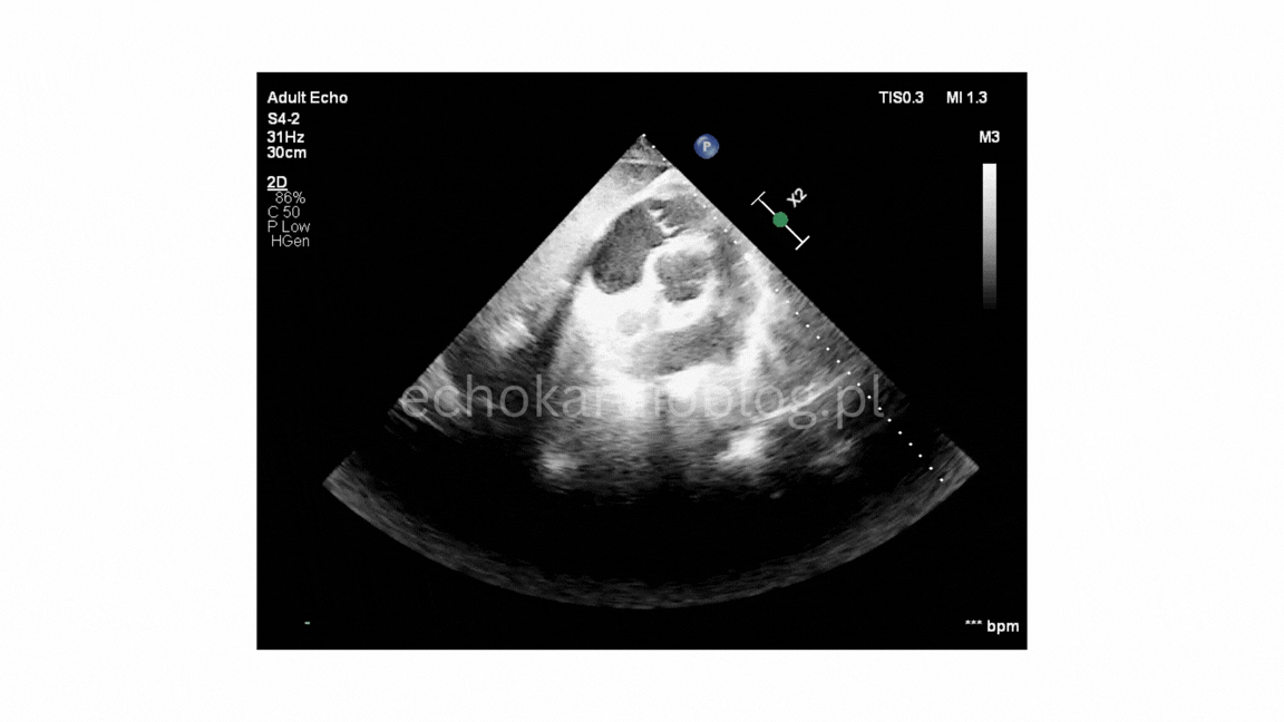
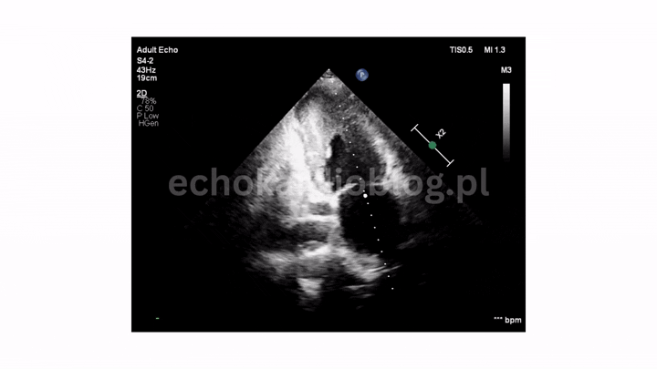
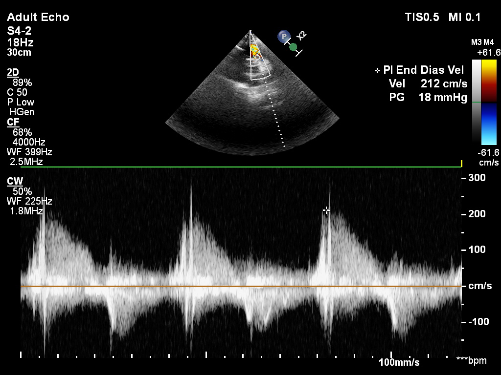
    Pacjent , lat 66, przyjęty z podejrzeniem sepsy, w badaniu echokardiograficznym ujawniono duże, ruchome wegetacje na trzech zastawkach – mitralnej, trójdzielnej i płucnej . Wegetacje najlepiej widoczne były w projekcjach podmostkowych . Obraz jest dramatyczny: wysokie ryzyko powikłań zatorowych i przeciążenia prawego serca.

    Znaczenie kliniczne

    Przypadek podkreśla, jak kluczowe jest dokładne badanie echokardiograficzne, nawet przy technicznie trudnym dostępie oraz wczesne zaangażowanie ośrodka referencyjnego w celu oceny możliwości interwencji kardiochirurgicznej.

    Case description

    A 66-year-old patient admitted with suspected sepsis underwent echocardiography, revealing large, mobile vegetations on the mitral ,tricuspid and pulmonary valves .Vegetations were most clearly visualized in subcostal projections. The findings are dramatic, indicating a high risk of embolic complications and right heart overload.

    This case highlight the immportance of a thorough echocardiographic examination, even when acoustic windows are technically challenging, and the need for early involvement of a referal center to assess potential surgical intervention.

    w projekcji – podmostkowej 4 jamowej uwidoczniono wegetacje na zastawce trójdzielnej i mitralnej
    wegetacja na płatku przednim zastawki mitralnej (segment A2) projekcja podmostkowa poprzeczna na zastawkę mitralną
    projekcja podmostkowa 4 jamowa- umiarkowana niedomykalność trójdzielna
    ciężka niedomykalność płucna w projekcji podmostkowej
    dwie długie i bardzo ruchome wegetacje na płatkach zastawki płucnej – pr podmostkowa w osi krótkiej
    CW Doppler przez zastawkę pnia płucnego – szybki spadek pędkości fali zwrotnej wskazuje na ciężką niedomykalność płucną

  • Zastawka aortalna dwupłatkowa echo – od oczywistej do coraz trudniejszej do rozpoznania / Bicuspid aortic valve – from obvious to difficult to recognize

    Zastawka aortalna dwupłatkowa echo – od oczywistej do coraz trudniejszej do rozpoznania / Bicuspid aortic valve – from obvious to difficult to recognize

    Zastawka aortalna dwupłatkowa echo – od oczywistej do coraz trudniejszej do rozpoznania. W poniższych trzech przykładach pokazuję, jak bardzo jakość obrazowania echokardiograficznego wpływa na możliwość rozpoznania zastawki aortalnej dwupłatkowej.

    W pierwszym filmie obraz jest doskonały i budowa zastawki jest oczywista. W drugim – rozpoznanie wymaga większej uwagi i doświadczenia.

    W trzecim – warunki obrazowania są trudne i nawet przy podejrzeniu BAV potwierdzenie diagnozy może być niepewne.

    Takie zestawienie pokazuje, że znajomość cech BAV musi iść w parze z umiejętnością oceny jakości obrazu i świadomością jego ograniczeń

    In the following three examples, I show how strongly the quality of the echocardioigraphic examination affects the ability to recognize a bicuspid aortic valve (BAV).

    In the first video, the image quality is excellent, and the bicuspid morphology is obvious. In the second one, the diagnosis requires more attention and experience.

    In the third, imaging conditions are very challenging, and even if BAV is suspected, confirmation may be uncertain.

    This comparison demonstrates that recognizing BAV depends not only knowing its typical features but also on the ability to assess image quality and understand its limitations.

    Zastawka aortalna dwupłatkowa echo
    Przypadek 1.A
    Przypadek 1.B
    Przypadek 1.C
    Przypadek 2.A
    Przypadek 2.B
    Przypadek 2.C
    Przypadek 3.A
    Przypadek 3.B
    Przypadek 3.C
    Przypadek 3.D
  • Klatka piersiowa lejkowata – serce pod presją

    Klatka piersiowa lejkowata – serce pod presją

    Opis przypadku: 42-letni mężczyzna, dotychczas nie leczony kardiologicznie. W załączonych obrazach
    echo serca widoczny :

    • nieprawidłowy ruch przegrody międzykomorowej
    • ucisk prawej komory w pobliżu zastawki trójdzielnej oraz
    • spłaszczenie i deformacja pierścienia trójdzielnego.
      Obraz typowy dla wpływu klatki piersiowej lejkowatej na pozycję i funkcję serca.
      Podsumowanie: Deformacja mostka może zaburzać geometrię prawej komory i ruch przegrody
      międzykomorowej, naśladując patologię serca. Echo pozwala to precyzyjnie odróżnić – warto o tym
      pamiętać u pacjentów z lejkowatą klatka piersiową.

    Pectus excavatum – the heart under pressure
    Case description:
    42-year-old man with no prior cardiac history. Echocardiography revealed :
    -abnormal motion of the interventricular septum,
    -compression of the right ventricule near the tricuspid valve and
    -flattening with slight deformation of the valve annulus.
    The findings are typical of external compression due tu pectus excavatum, affecting cardiac position and
    function.
    Summary:
    Sternal deformity may significantly disturb the geometry of the right ventricular and septal motion,
    mimicking true cardiac pathology. Echocardiography helps distinguish these mechanical effects – an
    important point to remember in patients with pectus excavatum.

    lejkowata klatka piersiowa wpływ -ucisk na jamy prawego serca
    lejkowata klatka piersiowa -nieprawidłowy ruch przegrody międzykomorowej, gdy pacjent siedzi
    Matka Boska Kazanska

  • Echokardiograficzne złudzenia w marskości wątroby: dwa przypadki pseudodyskinezy.

    Echokardiograficzne złudzenia w marskości wątroby: dwa przypadki pseudodyskinezy.

    Podczas badania echokardiograficznego u pacjentów z marskością wątroby często obserwujemy zjawisko,
    które nie wynika z choroby wieńcowej, lecz z czynników zewnętrznych: związane jest z uniesieniem
    przepony w przebiegu wodobrzusza, co zmienia położenie serca i może powodować pozorny
    paradoksalny ruch ściany dolnej, mogący sugerować dyskinezę, mimo że w rzeczywistości kurczliwość
    mięsnia sercowego pozostaje prawidłowa
    Prezentuję dwa przypadki pseudodyskinezy u pacjentów z marskością wątroby z wodobrzuszem:
    przypadek 1 – silnie wyrażona jest pseudodyskineza i
    przypadek 2, gdzie jest mniej nasilona postać pseudodyskinezy

    Echocardiografic illusions in liver cirrhosis: Two cases of pseudodyskinesia
    During echocardiographic examination of patients with liver cirrhosis, we often observe a phenomenon
    tht does not resultt from coronary artery desease but from external factors. It is related to diaphragmtic
    elevation in the course of ascites , which changes the position of the heart and may cause an apparent
    paradoxical motion of the inferior wall, suggesting dyskinesia. In reality, however, myocardial
    contractility remains normal.
    We present two cases of pseudodyskinesia in patents with liver cirrhosis and ascites:
    Case 1- marked pseudodyskinesia, and
    Case 2- a less pronounced form of the są me phenomenon.

    Przypadek 1.1
    Przypadek 1.2
    Przypadek 2.1
    Przypadek 2.2

    Wnioski:

    Pseudodyskineza to pozorne zaburzenie kurczliwości lewej komory, które wynika z wzrostu
    ciśnienia wewnątbrzusznego; wodobrzusze powoduje uniesienie przepony , co zmienia położenie serca w
    klatce piersiowej i może wpływać na jego ruchomość, zwłaszcza w jenoni ściany dolnej lewej komory

    Conclusion:
    Pseudodyskinesia is an apparent abnormality of left ventricular wall motion resulting from incr4eased
    intra-abdominal pressure. Ascites leads to elevation of the diaphragm, which changes the posiotion of the
    heart within the thoracic cavity and my influence its apparent motion, particulary in the region of the
    inferior wall of the left ventricle.

     Obraz Madonna z Dzieciątkiem mojego autorstwa
  • Kardiomiopatia złamanego serca (Tako-tsubo) bez stresora – echo serca u 85-letniej pacjentki pół godziny po omdleniu i kilka dni później. Broken heart syndrome (tako-tsubo cardiomyopathy) without a stressor – echocardiography in an 85-year -old patient half an hour after syncope and a few days later.

    Kardiomiopatia złamanego serca (Tako-tsubo) bez stresora – echo serca u 85-letniej pacjentki pół godziny po omdleniu i kilka dni później. Broken heart syndrome (tako-tsubo cardiomyopathy) without a stressor – echocardiography in an 85-year -old patient half an hour after syncope and a few days later.

    Pułapką diagnostyczną był brak stresora, brak bólu w klatce piersiowej oraz wysokie D-dimery ( 37000ng/ml, co mogło początkowo sugerować zatorowość płucną.

    Jednak kolejne badania zweryfikowały rozpoznanie: wysoki poziomTroponiny I (966 ng/l),

    w EKG : tachykardia zatokowa, niezupełny blok prawej odnogi pęczka Hisa, fragmentacja zespołów QRS w odprowadzeniu II,III,aVF, niewielkie wklęsłe uniesienie odcinka ST w III, aVF, V5 i V6), odstęp Qtc w normie, a przede wszystkim echo serca , które wskazywało na Tako-tsubo. Rozpoznanie potwierdzono w koronarografii.


    The diagnostic pitfall was the absence of a clear stressor, no chest pain, and markedly elevated D-dimers , which could initially suggest pulmonary embolism. However, further tests revised the diagnosis: elevated Troponins (966ng/l), ECG (sinus tachycardia , incomplete right bundle branch block, fragmented QRS complexes in leads II,III,aVF, slight ST-segment elevation in leads III,aVF, V5 and V6, normal Qtc interval ), and most importantly, echocardiography , which indicated Tako-tsubo cardiomyopathy . The diagnosis was confirmed by coronary angiography.

    Tako-tsubo przy przyjęciu projekcja 4C
    Tako-tsubo przy przyjęciu – widać rozdęty akinetyczny koniuszek, segmenty podstawne mocno zbliżone do siebie, przedni płatek mitralny zbliża się w skurczu do przegrody
    Tako-tsubo przy wypisie
    Tako-tsubo przy wypisie pełna normalizacja kurczliwości


    Kardiomiopatia złamanego serca (Tako-tsubo) może wystąpić bez uchwytnego stresora i bez bólu w klatce piersiowej. Może jej towarzyszyć wysokie stężenie D-dimerów, co odzwierciedla burzę katecholaminową i rozlane uszkodzenia śródbłonka. W takich sytuacjach echokardiografia ma istotne znaczenie zarówno dla rozpoznania jak i oceny procesu zdrowienia.


    Tako-tsubo cardiomyopathy may occur without an identifable stressor and wihout chest pain. It may also be assiociated with elevated D -dimer levels, reflecting a catecholamin storm and widespread endothelial infury. In such situations, echocardiography remains crucial both for diagnosis and for assessing recovery.

    Napisana przeze mnie ikona Matki Boskiej z Dzieciątkiem- obraz dla pokrzepienia złamanego serca.

  • Kardiomiopatia koniuszkowa w badaniu echokardiograficznym – szukaj asa pik!

    Kardiomiopatia koniuszkowa w badaniu echokardiograficznym – szukaj asa pik!

    Czasem można przeoczyć kardiomiopatię koniuszkową. Kiedy?  Gdy bardzo słabo widoczne są granice wsierdzia. Wtedy postawienie rozpoznania jest prawdziwym wyzwaniem.

    Prezentuję  obrazy echokardiograficzne czterech przypadków pacjentów:  od bardzo łatwego rozpoznania do coraz trudniejszego. W „odkryciu” pomocne jest wcześniejsze obejrzenie zapisu EKG 12- odprowadzeniowego, co powinno być obowiązkowe! Jeśli widzisz w EKG głębokie ujemne załamki T we wstędze przedsercowej + cechy przerostu lewej komory (czasem spełnione jest tylko jedno kryterium przerostu) – pomyśl o kardiomiopatii koniuszkowej!

    Apical cardiomyopathy on echocardographic imaging – look for the ace of spades !

    Sometimes apical cardiomyopathy can be overlooked. When? When the endocardial borders in the apical region are poorly visible. In such cases , making the diagnosis becomes a real challenge.

    I present echocardiographic images  – from a very easy to an increasingly diffcult diagnosis.

    In making the „discovery” it is extremaly helpful to review the ECG beforehand – this should be mandatory for every echocardiographer before performing the examination. If you see deep negative T waves in the precordial leads along with signs of left ventricular hypertrophy – think of apical hypertrophic cardiomyopathy !

    Przypadek 1.2
    Przypadek 2.1
    Przypadek 2.2
    Przypadek 3.1
    Przypadek 3.2
    Przypadek 4.1
    Przypadek 42

    Napisana przeze mnie ikona “Umilenie”- obraz dla.oczu i dla duszy……