Zastawka aortalna dwupłatkowa echo – od oczywistej do coraz trudniejszej do rozpoznania / Bicuspid aortic valve – from obvious to difficult to recognize

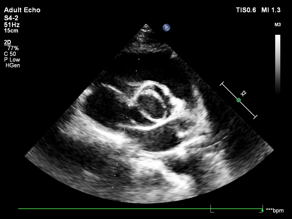
Zastawka aortalna dwupłatkowa echo – od oczywistej do coraz trudniejszej do rozpoznania. W poniższych trzech przykładach pokazuję, jak bardzo jakość obrazowania echokardiograficznego wpływa na możliwość rozpoznania zastawki aortalnej dwupłatkowej.

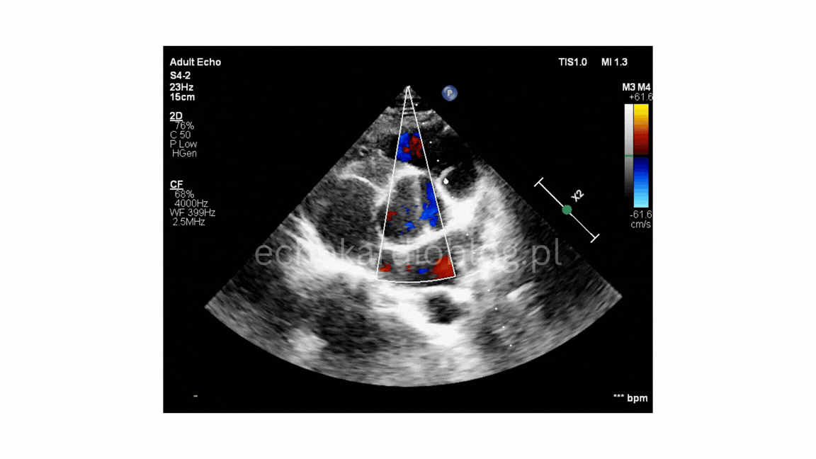
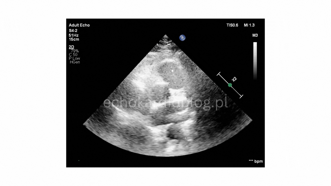
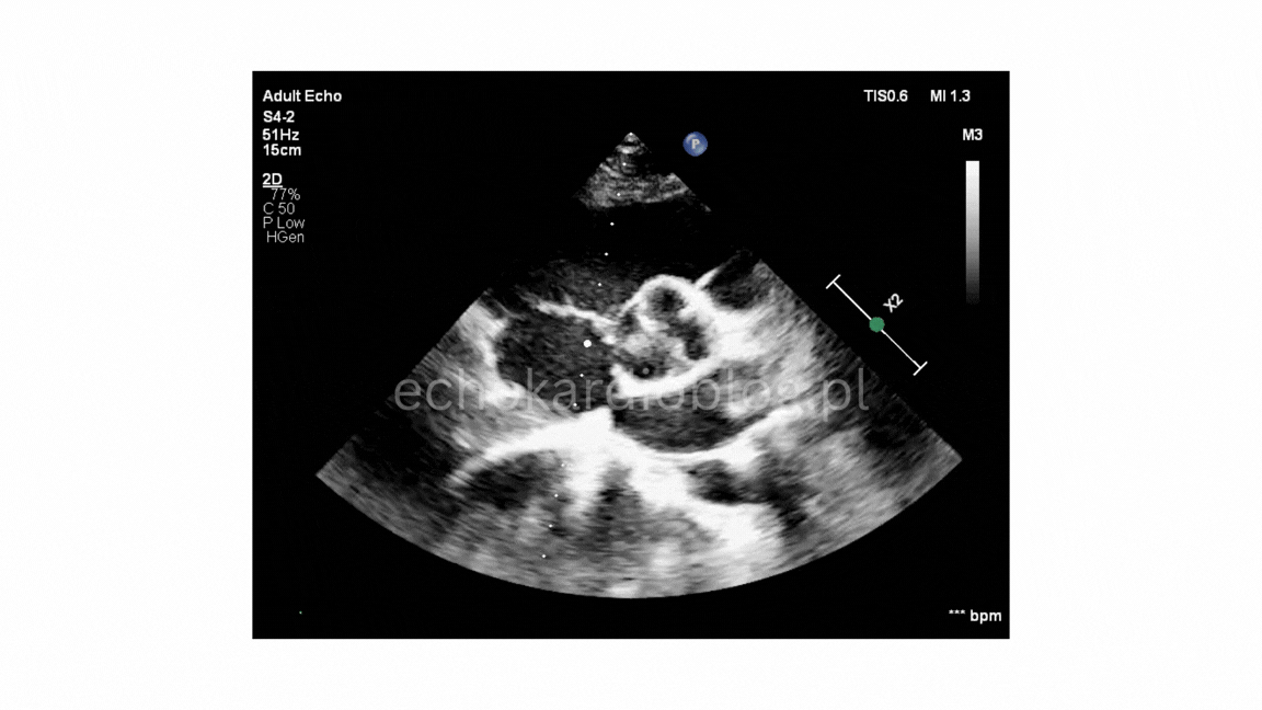
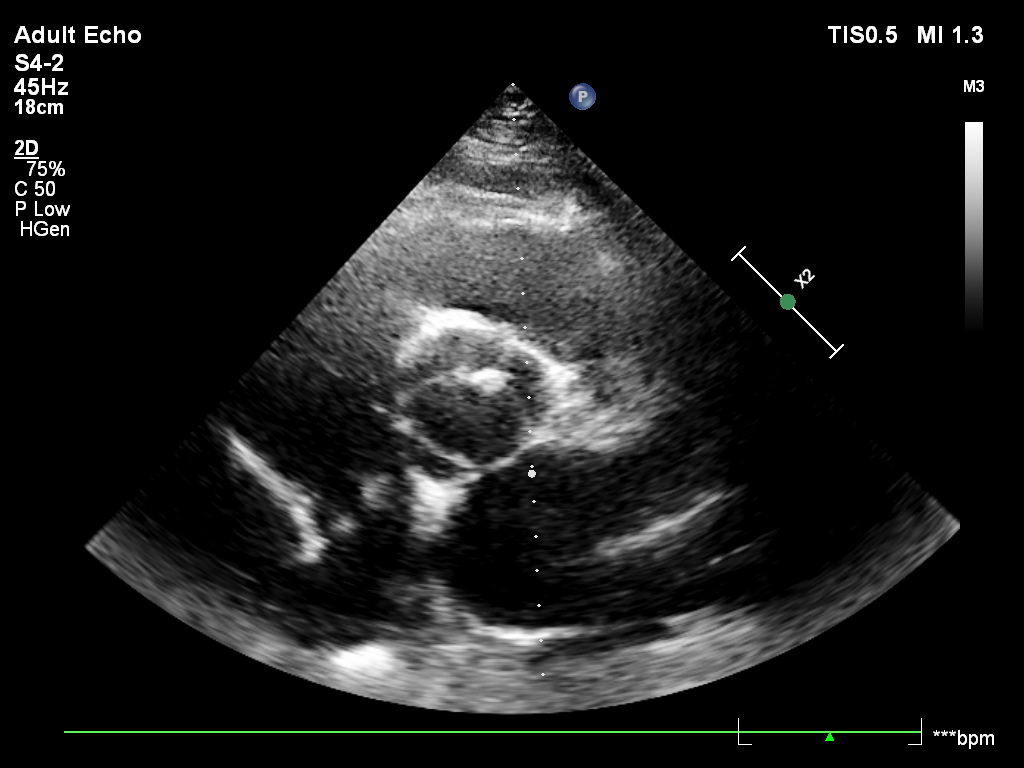
W pierwszym filmie obraz jest doskonały i budowa zastawki jest oczywista. W drugim – rozpoznanie wymaga większej uwagi i doświadczenia.

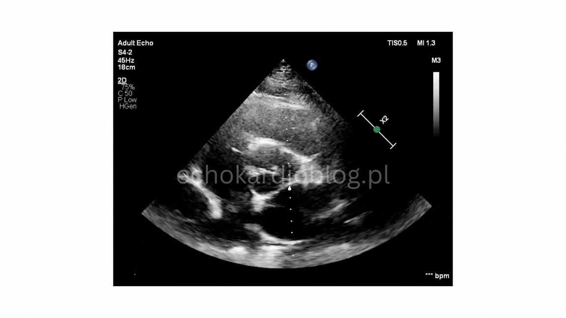
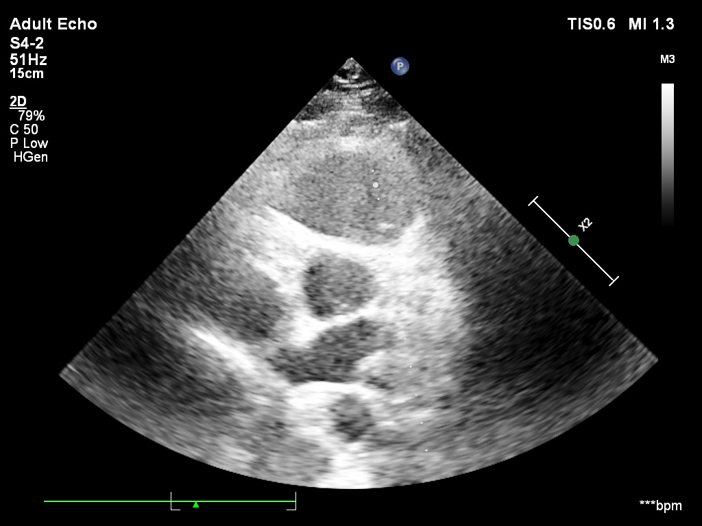
W trzecim – warunki obrazowania są trudne i nawet przy podejrzeniu BAV potwierdzenie diagnozy może być niepewne.

Takie zestawienie pokazuje, że znajomość cech BAV musi iść w parze z umiejętnością oceny jakości obrazu i świadomością jego ograniczeń

In the following three examples, I show how strongly the quality of the echocardioigraphic examination affects the ability to recognize a bicuspid aortic valve (BAV).

In the first video, the image quality is excellent, and the bicuspid morphology is obvious. In the second one, the diagnosis requires more attention and experience.

In the third, imaging conditions are very challenging, and even if BAV is suspected, confirmation may be uncertain.

This comparison demonstrates that recognizing BAV depends not only knowing its typical features but also on the ability to assess image quality and understand its limitations.

Zastawka aortalna dwupłatkowa echo
Przypadek 1.A
Przypadek 1.B
Przypadek 1.C
Przypadek 2.A
Przypadek 2.B
Przypadek 2.C
Przypadek 3.A
Przypadek 3.B
Przypadek 3.C
Przypadek 3.D