Pułapką diagnostyczną był brak stresora, brak bólu w klatce piersiowej oraz wysokie D-dimery ( 37000ng/ml, co mogło początkowo sugerować zatorowość płucną.
Jednak kolejne badania zweryfikowały rozpoznanie: wysoki poziomTroponiny I (966 ng/l),
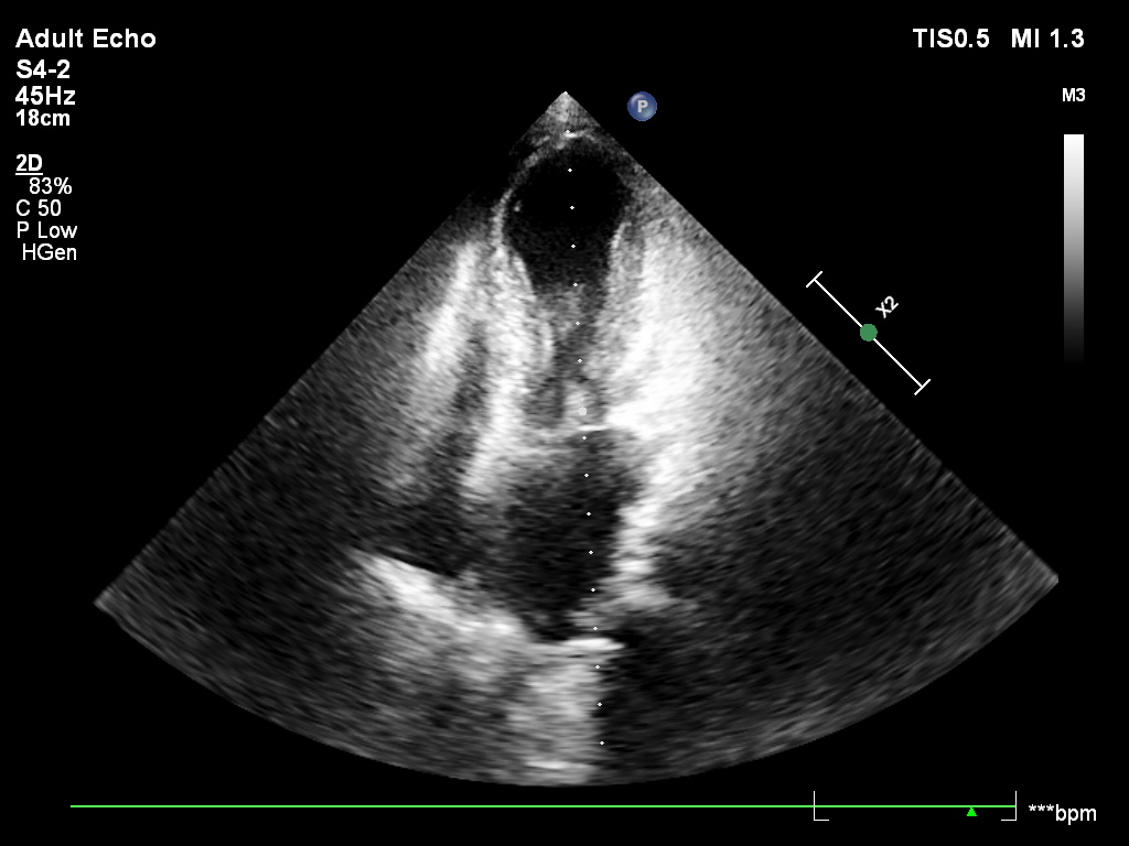
w EKG : tachykardia zatokowa, niezupełny blok prawej odnogi pęczka Hisa, fragmentacja zespołów QRS w odprowadzeniu II,III,aVF, niewielkie wklęsłe uniesienie odcinka ST w III, aVF, V5 i V6), odstęp Qtc w normie, a przede wszystkim echo serca , które wskazywało na Tako-tsubo. Rozpoznanie potwierdzono w koronarografii.
The diagnostic pitfall was the absence of a clear stressor, no chest pain, and markedly elevated D-dimers , which could initially suggest pulmonary embolism. However, further tests revised the diagnosis: elevated Troponins (966ng/l), ECG (sinus tachycardia , incomplete right bundle branch block, fragmented QRS complexes in leads II,III,aVF, slight ST-segment elevation in leads III,aVF, V5 and V6, normal Qtc interval ), and most importantly, echocardiography , which indicated Tako-tsubo cardiomyopathy . The diagnosis was confirmed by coronary angiography.




Kardiomiopatia złamanego serca (Tako-tsubo) może wystąpić bez uchwytnego stresora i bez bólu w klatce piersiowej. Może jej towarzyszyć wysokie stężenie D-dimerów, co odzwierciedla burzę katecholaminową i rozlane uszkodzenia śródbłonka. W takich sytuacjach echokardiografia ma istotne znaczenie zarówno dla rozpoznania jak i oceny procesu zdrowienia.
Tako-tsubo cardiomyopathy may occur without an identifable stressor and wihout chest pain. It may also be assiociated with elevated D -dimer levels, reflecting a catecholamin storm and widespread endothelial infury. In such situations, echocardiography remains crucial both for diagnosis and for assessing recovery.

Napisana przeze mnie ikona Matki Boskiej z Dzieciątkiem- obraz dla pokrzepienia złamanego serca.
